セラミック矯正の症例写真(ビフォーアフター)
当院の症例写真は、画像処理により形や大きさを変えるような処理は一切おこなっておりません。
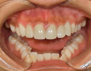
セラミック矯正 / 22歳 / 女性
施術名: セラミック矯正
症例: 上顎前突(出っ歯)、八重歯、叢生・乱杭歯(ガタガタした歯並び)
治療期間: 2か月半程度 / 通院回数: 4回 / 治療費: 686,000円
年齢: 22歳 / 性別: 女性
セラミック矯正 / 35歳 / 女性
施術名: セラミック矯正
症例: 八重歯、叢生・乱杭歯(ガタガタした歯並び)
治療期間: 6か月程度 / 通院回数: 6回 / 治療費: 562,300円
年齢: 35歳 / 性別: 女性
セラミック矯正 / 22歳 / 女性
セラミック矯正 / 34歳 / 女性
施術名: セラミック矯正
症例: 上顎前突(出っ歯)、叢生・乱杭歯(ガタガタした歯並び)、歯の形状
治療期間: 3か月程度 / 通院回数: 6回 / 治療費: 573,600円
年齢: 34歳 / 性別: 女性
セラミック矯正 / 28歳 / 女性 / モデル
施術名: セラミック矯正
症例: 叢生・乱杭歯(ガタガタした歯並び)
治療期間: 1か月程度 / 通院回数: 3回 / 治療費: 496,000円
年齢: 28歳 / 性別: 女性 / 職業: モデル
担当歯科医師:白石 文
■治療方法 : セラミック矯正
■治療説明 : セラミック矯正は、歯並び、歯の色、歯の形、歯の大きさ、噛み合わせを同時に改善することを目的とした治療です。
■治療費 : 110,000円〜897,600円
■治療の副作用(リスク):
歯の神経治療及び土台(芯も含む)治療や抜歯が必要になる可能性があります。
神経治療をした歯は気圧の変化や時間経過により炎症がみられる可能性がある。
麻酔をした部分は内出血、痛みを伴う可能性がある。
咬み合わせ調整のために対合歯の研磨調整が必要となる可能性がある。
歯の削合後は数週間から数か月は知覚過敏の症状や違和感が出る可能性がある。
印象採得後、歯茎から微出血や違和感が数週間続く可能性がある。
セラミッククラウン装着直後、歯茎に赤みがみられる可能性がある。
セラミッククラウン装着後でも痛みが出た場合は神経治療が必要となる可能性がある。
定期健診を怠ると、虫歯、歯周病のリスクが高まる。
日常生活の範囲を超える力が加わると、欠損や脱離の可能性がある。
咬み合わせや歯ぎしりにより歯の根が動く可能性がある。
治療する歯の本数や材質により仕上がりが異なる。
金属を使用したクラウンを装着した場合、経時的に歯茎が黒くなる可能性がある。
歯肉退縮が起きるとセラミッククラウンと土台の歯の境目が見える可能性がある。
■治療期間 : 3週間〜4か月
■治療回数 : 3回〜6回


